Prosthodontics
5 min read
Jun 04, 2025
Dry Socket Dental Implant Risk: Causes and How to Prevent It
You finally got your dental implant and you're hoping the hardest part is behind you, but then someone mentions a “dry socket,” and now you're second-guessing every little twinge in your mouth. Don’t panic. While dry socket is a real (and painful) risk after certain dental procedures, it’s also preventable if you know what to watch for.

Let’s say you finally went through with it, after weeks of research, second opinions, and probably more Googling than you care to admit, you booked the appointment and got your dental implant. You made the right call. Replacing missing teeth isn’t just about looks (though hello, smile glow-up). It’s about protecting your jaw, chewing better, and avoiding long-term tooth loss issues.
But now, you’re nursing your tender mouth and wondering… why did someone mention dry socket? And should you be worried?
Let’s walk through it, calmly, clearly, and with some real-world advice on how to avoid this painful post-op pitfall.
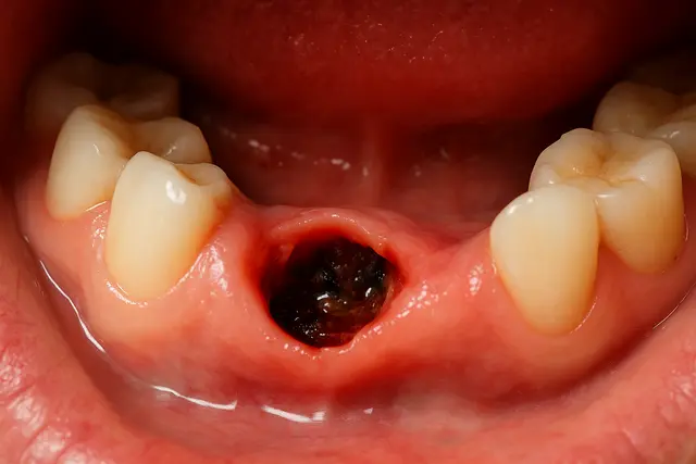
First Things First: What Is Dry Socket, Anyway?
When a tooth is removed, your body’s first job is to form a blood clot in the empty space, this is the foundation for healing. Think of it like a scab inside your mouth. It shields the bone and nerves in your jawbone and lets your gum tissue start the repair work.
But sometimes, that clot fails to form… or it gets dislodged way too early. That’s when you end up with a dry socket ,a raw, exposed hole in your mouth. It's as painful as it sounds. A deep, persistent throb that radiates through your jaw and sometimes even into your ear or neck.
Dry socket is most common after a tooth extraction, but if your implant surgery involved removing a tooth beforehand, the risk is still there. It’s not about the implant itself, it’s what happens around the implant site when the gum doesn’t get the chance to heal properly.
What Causes It?
Let’s not sugarcoat this: most dry sockets happen because of one of two things. Either the clot never forms in the first place, or something knocks it out too soon. And the “something” is usually a behavior most patients don’t even realize is risky.
Here are a few common culprits:
Smoking or vaping (yep, even a few puffs)
Drinking through a straw (suction = bad idea)
Swishing or spitting too aggressively after surgery
Eating hard or crunchy foods too soon
Ignoring post-op instructions (you know that paper they handed you on your way out? Yep, that one.)
And just to be clear: dry socket isn’t an infection. It’s exposure. Bone and nerves that should be covered are now just… out there. No fun.
When It Happens (And What It Feels Like)
You’re typically in the clear for the first 24 hours. If a clot is going to form, it usually happens during this window. But if you start feeling a sharp, escalating pain two or three days after surgery, especially if it seems worse than the day before, you may be developing a dry socket.
A few signs to watch for:
Throbbing pain that doesn’t respond to over-the-counter pain relievers
Pain that spreads to your ear, neck, or head
Bad taste or smell in your mouth
A visible “hole” where your tooth used to be (you might even see white bone)
If that’s happening, don’t wait. Contact your dentist or oral surgeon right away. You’ll likely need the area cleaned and medicated. Trying to “tough it out” will just delay your healing.
Rinse With Care, And Only When Told
One of the easiest ways to mess up the healing process is by rinsing too soon or too aggressively. Most patients feel that urge to clean their mouth, especially with blood or swelling going on, but for the first 24 hours, hands off.
After that, your dentist might recommend a warm salt water rinse. Not swishing like you’re in a mouthwash commercial, just gentle tilts of your head. Let the rinse move naturally over the area. Think of it like babysitting a delicate wound. Because, well, it is.
The Straw Rule Is Real
We get it, milkshakes are tempting when you’re on a soft foods diet. But using a straw creates suction in your mouth that can dislodge the clot from your tooth socket. No matter how careful you think you’re being, just skip it. Use a spoon. Sip slowly. It’s temporary.
Same goes for smoking or chewing tobacco. Besides the obvious health concerns, tobacco can delay healing and irritate the gum tissue around the implant site. If there was ever a time to quit, even temporarily, this is it. Your mouth will thank you.
Soft Foods Only
Your dentist probably told you this, but let’s repeat it because it matters. For at least the first few days, stick to foods that are soft, mild, and non-irritating. Mashed potatoes, applesauce, smoothies (without the straw!), scrambled eggs, and soups are all great picks.
Try to chew on the opposite side of your mouth, away from the implant site. The less pressure you place on the healing area, the better chance it has to knit back together without issue.
Avoid anything too hard, too hot, or too spicy. We’re looking at you, tortilla chips and crusty baguettes. Those sharp edges can irritate or even cut the gum tissue while it's trying to heal.
How to Prevent a Dry Socket
This isn’t about luck. You can reduce the risk of developing a dry socket with a few smart moves:
Don’t smoke for at least 72 hours (ideally longer)
Avoid using straws completely for the first few days
Stick with soft foods for the first few weeks
Rinse only when approved, and do it gently
Follow every single post-operative instruction your dentist gives you
Don’t poke or touch the site, even if you’re curious
Take prescribed antibiotics and pain medication exactly as directed
Your dentist isn’t being overly cautious, they’re helping you avoid a painful condition that can prolong healing and delay your next steps in the implant process.
When to Call a Professional
If you’re past the 48-hour mark and pain suddenly intensifies, or if you’re feeling throbbing discomfort that gets worse instead of better, don’t second-guess yourself. Schedule an appointment right away. It’s always better to get checked and hear, “you’re fine” than to wait and let a dry socket get worse.
What Is Dry Socket and Why Is It So Painful?
Dry socket occurs when the blood clot that’s supposed to form after a tooth extraction or implant-related surgery fails to develop or becomes dislodged too soon. This leaves underlying bone and nerves exposed, resulting in intense, throbbing pain that often spreads to the ear, jaw, or neck. It’s not an infection, but it can delay healing and requires prompt treatment.
Can You Get Dry Socket After Dental Implant Surgery?
Yes, you can, especially if a tooth was extracted during the implant process. While the implant itself doesn’t cause dry socket, the area where the tooth was removed is still vulnerable. Following post-op instructions carefully is key to preventing this complication during healing.
How Can You Prevent Dry Socket After an Implant?
To reduce the risk of dry socket, avoid smoking, using straws, or rinsing your mouth aggressively for at least the first 72 hours. Stick to soft foods, chew on the opposite side of your mouth, and follow all post-op care instructions from your dentist. Proper aftercare helps protect the healing site and keeps the blood clot in place.
When Should You Call Your Dentist About Post-Surgery Pain?
If you feel worsening pain two to three days after your procedure, especially if it radiates, includes a bad taste, or reveals visible bone, it could be a dry socket. Don’t wait it out. Call your dentist or oral surgeon immediately so they can clean the site, apply medicated dressings, and help you heal properly.Ask ChatGPT
Read Next
Related Posts

Prosthodontics
Zirconia Dentures Overview: A Comprehensive Introduction
Considering dental implants or dentures but want something that feels more natural and lasts longer? Zirconia might be the solution you're looking for. Known for its durability, aesthetics, and biocompatibility, zirconia is becoming a top choice for patients seeking a more permanent and comfortable tooth replacement option.
5 min read
Nov 03, 2025

Prosthodontics
Flipper Teeth vs. Partial Dentures Comparison: Best Temporary Tooth Replacement
Missing teeth can impact more than just your appearance, they can affect your confidence, speech, and ability to eat comfortably. Fortunately, there are temporary solutions that offer both function and aesthetics while you plan your next steps. Two of the most common options are flipper teeth and partial dentures, each with unique advantages depending on your needs.
5 min read
Nov 02, 2025

Prosthodontics
Mini Dental Implants Explained: The Fast Fix for Loose Dentures
Struggling with loose dentures can be frustrating, uncomfortable, and confidence-shaking. Thanks to modern dentistry, there’s now a quicker, less invasive, and more affordable alternative to traditional implants that can securely anchor your dentures in place. Mini dental implants offer stability, comfort, and peace of mind for those tired of slipping dentures and complicated procedures.
4 min read
Nov 02, 2025
Don’t have time to research every dentist around you?
See why 30k+ patients trusted us