Prosthodontics
6 min read
Jun 02, 2025
Smile Confidently Again With Two Front Teeth Implants
Losing your two front teeth isn’t just a cosmetic concern, it can shake your confidence, affect how you speak, and make everyday things like eating feel awkward. But there’s a lasting solution that doesn’t just cover up the problem, it fixes it. With two front teeth implants, you can restore your smile in a way that looks, feels, and functions like your real teeth.

So, you lost your two front teeth. Whether it happened thanks to a rogue baseball, a stubborn piece of hard candy, or the slow creep of decay, one thing’s for sure, you're not exactly thrilled with your smile right now. And that’s totally fair. Our front teeth are like the VIPs of our grin: the first thing people see, the stars of every photo, and key players in how we speak, eat, and feel about ourselves.
But here's the good news. Thanks to modern dental implant technology, you don’t have to live with the gap or settle for a denture that slips at the worst moments. You can get two front teeth implants that look, feel, and function like your real teeth, maybe even better.
Let’s break it all down so you know exactly what to expect, how it works, and why this might be one of the best decisions you’ll ever make for your smile.
Why a Dental Implant Is More Than Just a Replacement
When you hear "dental implant," think of it as a full replacement for a lost tooth, root and all. Unlike dentures that sit on top of the gums or bridges that rely on adjacent teeth, implants are surgically placed into the jawbone. They’re strong, permanent, and built to last.
The implant itself is a small titanium post that acts like your new tooth root. Once it's in place, your bone actually grows around it (this process is called osseointegration, if you’re feeling fancy). That connection makes it incredibly stable, like, “bite into a crisp apple without flinching” stable.
And on top of that post? That’s where the magic happens. Your dentist places an abutment, which is like a tiny connector, and then a crown, typically made of porcelain, to match the shape, color, and shine of your natural teeth. Done right, no one will know those front teeth are anything but real.
Implants Look and Feel Like the Real Deal
Let’s be honest: no one wants to flash a smile that looks fake. The aesthetic result is one of the biggest perks of getting front tooth implants. They’re designed to match your natural teeth in color, shape, and even the way light bounces off the surface. That’s what gives them such a convincing, natural appearance.
And because they’re fixed in place, you won’t have to worry about removing them, misplacing them, or having them click when you talk. They become a part of your mouth, right down to the gumline. Plus, implants don’t rely on your adjacent natural teeth for support, which means your remaining teeth stay intact and healthy.
When You’re Missing Teeth, It’s More Than a Cosmetic Issue
It’s tempting to think that missing front teeth is just a cosmetic concern, but it’s so much more than that. Leaving the gap untreated can mess with your bite, cause the other teeth to shift, and even lead to bone loss in the jawbone. Over time, that bone resorption can change the shape of your face, aging you prematurely and making future dental work more complicated.
Tooth roots play a vital role in stimulating the jaw. When they’re gone, the bone doesn’t get the signal it needs to stay strong. That’s where the dental implant really shines: it replaces the root and keeps your bone healthy. A proper restoration isn't just about a pretty smile, it’s about keeping your entire mouth functional and structurally sound.
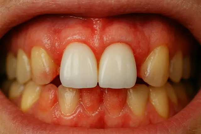
A Closer Look at Front Teeth Implants
The upper front teeth, especially the central incisors and lateral incisors, are the showstoppers. They need to be placed with precision. Not just for bite function, but to maintain your unique facial characteristics and avoid anything that looks “off” in your smile.
If you’re missing front teeth, your dentist may recommend placing one implant for each missing tooth or a shared implant depending on spacing and bone availability. Sometimes, if there isn’t enough bone to support the implant, a bone graft may be needed before placement. That might sound intense, but with today’s dental implantology and techniques, it’s a common step to ensure long-term success.
What to Expect from the Implant Surgery Process
Implant surgery isn’t a lunch break kind of procedure. It’s done in stages, but each step is vital. First comes the consultation, where a general dentist, periodontist, or implant specialist will check if you're a good candidate. This includes X-rays, 3D scans, and a full review of your medical history.
Then comes the surgical part, placing the titanium post into your jawbone. After that, you’ll need to heal. Osseointegration doesn’t happen overnight. It can take several months for the implant to fully anchor into the bone.
Once the bone is ready, your dentist will place the abutment and crown. Together, they complete the look and function of your new teeth. The result? A tooth replacement that feels like part of you.
Denture vs. Dental Implants: Why It’s Worth the Upgrade
Look, traditional dentures have their place. They’ve helped countless people smile again. But when it comes to the front teeth, where both form and function matter most, implants have the upper hand. Dentures can slip, irritate your gum tissue, and don’t stop bone loss. Implants, on the other hand, are fixed in place, feel like natural teeth, and keep the jawbone stimulated.
And let’s not forget, implants may actually help preserve your remaining natural teeth by preventing them from shifting into the space left by missing teeth.
Proper Care Means Long-Term Success
Here’s the thing: dental implants require care, just like natural teeth. Daily cleaning, regular checkups, and avoiding habits like using your teeth as bottle openers will keep them in great shape.
With proper care, implants can last decades, maybe even a lifetime. That’s not something you can say about every type of dental work.
You’re Not Alone, Millions Are Getting Their Smile Back
According to the American Dental Association, dental implants are one of the most predictable and successful procedures in dentistry today. Whether you lost your teeth due to injury, decay, or periodontal disease, getting implants is a reliable, safe, and smart choice for many patients.
And cosmetic dentistry has come a long way. Thanks to advances in prosthetic design, implant restoration, and dental technology, your new teeth can be customized to match the exact shade of your existing smile, right down to the way they catch the light.
Is It Time to Replace Your Missing Front Teeth?
If you’re still on the fence, think about this: how would it feel to smile in photos again without hiding behind your hand? To laugh freely? To eat without worrying about which side of your mouth is “safe”?
That’s the freedom two front teeth implants can bring.
Whether your treatment plan calls for one implant or two, whether your upper or lower teeth need help, what matters most is getting the result that feels like you again. A crown that looks like it belongs. An implant that holds strong. A smile that brings back your confidence.
So if you’ve been Googling tooth replacement options or wondering how to replace your missing front teeth without compromising on comfort or appearance, it might be time to take the next step.
Schedule a consultation today. Talk with a general dentist or periodontist. Let them guide you through your options and help you decide if you’re a good candidate.
What Makes Dental Implants Better Than Dentures for Front Teeth?
Dental implants are surgically placed into the jawbone, making them stable and permanent, unlike dentures, which can slip or cause irritation. Implants also preserve jawbone health by stimulating the bone where the tooth root once was, helping prevent facial collapse and long-term changes to your bite or appearance.
Do Front Tooth Implants Look Natural?
Yes, front tooth implants are custom-designed to match the shape, color, and shine of your natural teeth. When done properly, they blend seamlessly into your smile and reflect light like real enamel. Most people can’t tell the difference between an implant and a natural tooth.
How Long Does It Take to Get Front Teeth Implants?
The full process typically takes several months. After the initial consultation and implant placement, healing and osseointegration (bone fusing with the implant) can take 3 to 6 months. Once healed, the abutment and crown are added to complete your new tooth.
Can I Get Two Implants Next to Each Other for My Front Teeth?
Yes, you can. If you’ve lost both front teeth, your dentist may place two individual implants or consider a shared solution depending on the spacing and bone availability. In some cases, a bone graft may be needed beforehand to ensure strong, long-lasting support for the implants.Ask ChatGPT
Read Next
Related Posts

Prosthodontics
Implant Supported Dentures Overview
Missing teeth can impact more than just your smile, they can affect your confidence, comfort, and even your diet. Fortunately, modern dentistry offers a solution that’s both secure and natural-looking: implant-supported dentures. This innovative approach blends the stability of implants with the convenience of dentures to create a long-lasting, life-improving upgrade.
5 min read
Oct 29, 2025

Prosthodontics
Implant Overdentures Explained: The Hybrid Solution to Missing Teeth
Missing teeth can impact everything from your ability to eat to your self-confidence. While traditional dentures have long been a go-to solution, they often fall short in comfort and stability. Implant overdentures offer a modern alternative that combines the security of dental implants with the convenience of removable dentures, a true upgrade for those looking to reclaim their smile.
6 min read
Oct 29, 2025

Prosthodontics
Implant Retained Dentures Explained
Considering implant-retained dentures? You're not alone. As modern dentistry evolves, more people are turning to this secure, natural-feeling alternative to traditional dentures. This guide will walk you through what they are, how they work, and why they might be the solution you've been looking for.
4 min read
Oct 28, 2025
Don’t have time to research every dentist around you?





See why 30k+ patients trusted us