Overall rating
4.9
Based on 56 verified reviews
Elvis Phan
If everyone here were any sweeter, you might have to book an appointment to fill the cavity.Always a Phantastic experience!!!
Ismael Rivera Jr
My Wife And I have been with Dr Phan as our Dentist for several years. I can truly say that his expertise in the dental field.is one of a kind. My wife is very picky when it comes to how she looks Dr Phan put a smile on her she is happy with his work and so am I. He also has a great staff we have a great time with them.So if your looking for a great Dentist have no fear Dr. Phan is here.I Rivera Jr.
Barbara W
I have been going to Dr Phan’s office for many years now and have recommended him and his staff to everyone I had the chance. He and Victoria are trusted completely with the care of me and my teeth. He and the staff genuinely care and take care of the entire processes involved down to the smallest detail. Your satisfaction with all they do are taken seriously. I could say more, but I will limit this to they get my HIGHEST recommendations!
Highlights
Highly recommended
94% of patients gave 5 stars
Patients often return
More patients return than other in the area
Excellent wait time
99% of patients waited under 30min
New patient appointments
Appointments available for new patients
Doctors

Dr. Phan
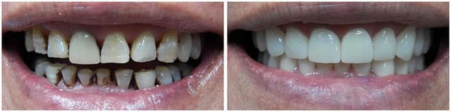
Cosmetic Dentistry
Location
7824 Lake Underhill Rd Suite G, Orlando, FL 32822Get directions
Working Hours
Monday
8AM - 4PM
Tuesday
8AM - 4PM
Wednesday
8AM - 4PM
Thursday
8AM - 4PM
Friday
Closed
Saturday
Closed
Sunday
Closed




























