Oral Health
5 min read
Jun 06, 2025
Bruxism and Gum Recession: Simple Ways to Stop the Damage
If you grind your teeth, whether you know it or not, you could be doing more than wearing them down. That constant pressure may also be pulling your gums away from your teeth, setting the stage for sensitivity, decay, and even tooth loss. The good news? You can stop the damage before it gets worse.

You wake up, stretch, yawn... and notice your jaw is sore. Again. Or maybe one day you look in the mirror and think, Were my teeth always this long?
If this sounds familiar, you’re not alone. A lot of people, many without even knowing it, grind their teeth. And when they do, their gums can start retreating like the tide going out. It’s sneaky and silent... until it’s not.
Here’s the thing: bruxism (that’s the fancy name for teeth grinding) and gum recession often go hand in hand. And while plenty of folks worry about the damage grinding can do to their teeth, fewer realize that it can also cause the gums to recede. That’s not just a cosmetic issue. Left unchecked, it can cause sensitivity, expose your tooth roots, invite decay, and even lead to tooth loss.
But this story isn’t all doom and gloom. There are simple ways to stop this cycle of damage, if you know what to look for and what to do. Let’s get into it.
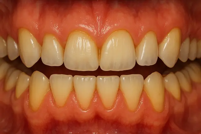
What Gum Recession Really Means
Let’s start with the basics. Your gums aren’t just there to look pink and pretty. They anchor and protect your teeth, covering the bone underneath and shielding the sensitive parts of each tooth.
Gum recession happens when that protective gum tissue starts pulling back. Sometimes it’s gradual; sometimes it speeds up thanks to bad habits (hello, overzealous toothbrushing). Either way, receding gums expose more of the tooth, and sometimes even the roots of teeth, which aren’t built to face the outside world.
Exposed roots can cause sensitivity, pain, and an increased risk of tooth decay. Even worse? Once the gum tissue is gone, it won’t magically grow back. In severe cases, your dentist may recommend a gum graft to restore lost gum tissue, but prevention is always better than surgery.
Why Grinding Is a Gum Killer
If you’re thinking “Okay, but what does this have to do with grinding my teeth?”, good question.
Teeth grinding can cause gum recession in several ways:
First, when you clench or grind your teeth, you put serious pressure on the teeth and their supporting structures. That excessive force stresses not just your teeth, but the gum tissue surrounding the teeth. Over time, this pressure can literally push the gums away from the teeth.
Second, that same force can damage the bone beneath your gums. If bone support weakens, the gums follow suit. Cue gum recession.
Third, grinding of teeth often happens at night (sleep bruxism), so many people don’t realize they’re doing it, until their dentist points out the telltale signs.
Why Do We Grind Our Teeth?
So why do we do this to ourselves? The causes of bruxism vary. For many, it’s stress and anxiety. Others grind because of misaligned teeth, when your upper and lower teeth don’t meet evenly, your jaw may overcompensate by grinding.
Awake bruxism can creep in when we’re tense or focused (think clenching during a tough work email). And for some, it’s triggered by certain medications or sleep issues.
Whatever the trigger, teeth grinding can cause gum recession if it goes unchecked.
Tooth Damage: The Other Side of Grinding
Now, here’s the part most people miss: teeth grinding can also cause damage that makes gum disease more likely.
Grinding wears down the enamel on your teeth, making them more vulnerable to decay. Weakened teeth can irritate the gum tissue and spark gum inflammation, which can contribute to gum recession.
Plus, if you already have gum disease, grinding can lead to a faster, more severe version of gum disease and recession. It’s a vicious cycle.
How Tooth Grinding Causes Gum Recession
Let’s zoom in on the mechanics. Here’s exactly how grinding teeth causes your gums to recede:
Every time you grind or clench your teeth, you’re applying repeated force to the tooth roots and gum line. Over time, this trauma causes the gum tissue to recede.
If your bite is uneven, some teeth take more of that force, speeding up gingival recession in certain spots.
And once the gums pull back, they expose vulnerable areas that can quickly develop periodontal disease, another contributor to gum recession.
Treatment Options That Actually Work
Here’s the good news: you can break this cycle.
The best treatment starts with protecting your teeth from further damage while addressing the grinding itself. Here’s what dentists usually recommend:
Wear a mouthguard at night: A custom-fit mouthguard absorbs the force of clenching and grinding, giving your gums and teeth a break. It’s one of the simplest, most effective ways to protect your teeth and gums from the effects of bruxism.
Address stress: If anxiety is driving your grinding, try meditation, exercise, or even counseling. Reducing stress can lower the urge to grind their teeth during the day and night.
Correct misaligned teeth: If your bite is off, orthodontic treatment can reduce the uneven forces that cause gum recession.
Treat gum disease: If you already have a form of gum disease, professional cleanings and better oral hygiene can prevent further gum recession.
Consider gum grafting: In severe gum recession cases, a gum graft may be needed to address gum loss and restore lost gum tissue.
Preventing Gum Recession: Small Changes That Matter
If you want to prevent gum recession from getting worse (or starting in the first place), here are a few daily habits that help:
Brush your teeth gently with a soft-bristled brush. Aggressive brushing is a big cause of gum recession.
Floss carefully and consistently to maintain gum health.
Limit caffeine and alcohol, they can increase clenching and grinding of teeth.
Pay attention during the day. If you catch yourself clenching, relax your jaw.
Get regular dental checkups. Your dentist can spot signs of bruxism before you notice them and monitor your oral health.
Managing Bruxism for the Long Haul
Here’s the bottom line: bruxism affects millions of people, and while you might not be able to stop it overnight, you can manage it, and protect your gums in the process.
If you suspect you grind your teeth or notice your gums pulling back, talk to your dentist. Together, you can build a plan to reduce teeth grinding cause gum recession, treat any gum disease, and prevent further gum recession.
A little awareness now can save you from bigger dental problems later, and keep your smile healthier and stronger for years to come.
Can Grinding Your Teeth Really Cause Gum Recession?
Yes, grinding your teeth (bruxism) can absolutely lead to gum recession. The constant pressure from clenching or grinding stresses your teeth and the surrounding gum tissue, eventually causing the gums to pull back and expose sensitive tooth roots.
What Are the Signs That Grinding Is Affecting My Gums?
Common signs include sore jaws when you wake up, teeth that appear longer than before, increased tooth sensitivity, or gum tissue that looks like it’s pulling away from the teeth. A dentist can also spot damage during a routine exam.
How Can I Protect My Gums If I Grind My Teeth?
Wearing a custom nightguard is one of the best defenses, it cushions your teeth and reduces pressure on your gums. Stress management, correcting bite issues, and gentle brushing habits also help protect gum tissue from further damage.
Can Gum Recession From Grinding Be Reversed?
Unfortunately, receding gums don’t grow back on their own. However, with early intervention, like using a mouthguard, treating gum disease, and maintaining excellent oral hygiene, you can stop further recession. In severe cases, a gum graft may restore lost tissue.
Read Next
Related Posts

Oral Health
Tooth Replacement Options to Prevent Bone Loss
Losing a tooth isn’t just about appearance, it can have a lasting impact on your oral health, jawbone strength, and overall quality of life. When teeth go missing, the jawbone begins to shrink, which can change your bite, your facial structure, and even your confidence. Fortunately, modern dentistry offers several effective solutions to replace missing teeth and prevent further bone loss.
4 min read
Sep 26, 2025

Oral Health
Bone Loss Due to Tooth Infection Explained: What It Means for Your Oral Health
A tooth infection isn’t just about pain, it can quietly damage the tissues around a tooth and even erode the jawbone that supports your smile. This guide explains how infections start, why they can lead to bone loss, the warning signs to watch for, and the treatments that can stop the spread and rebuild lost support.
5 min read
Sep 25, 2025

Oral Health
Understanding Bone Loss in Teeth: Causes and Treatments That Work
Bone loss in teeth is a silent threat that can compromise your smile, facial structure, and overall oral health. While it often goes unnoticed in the early stages, it can lead to serious consequences if left untreated. Understanding what causes dental bone loss, and how to prevent or manage it, is key to maintaining a strong, healthy foundation for your teeth.
5 min read
Sep 25, 2025
Don’t have time to research every dentist around you?
See why 30k+ patients trusted us